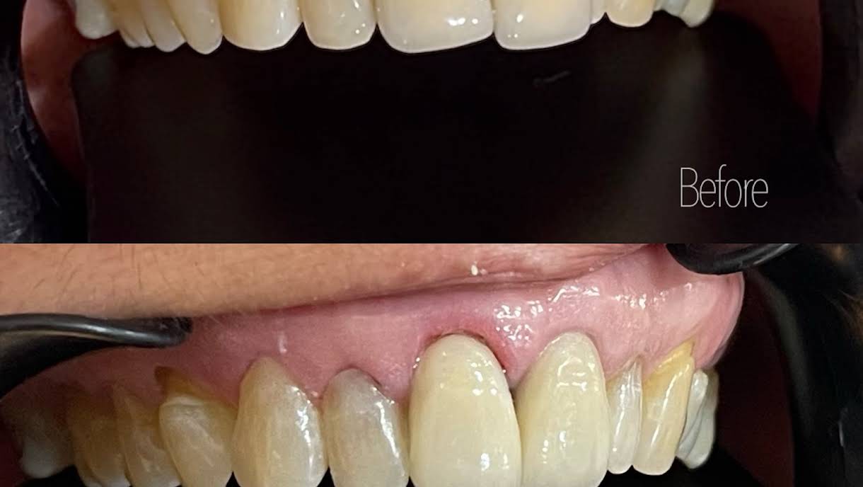
Replacing central incisor crowns from (PFM)porcelain fused to metal crown
to Emax crowns.
Disadvantage of PFM:
PFM crowns, unfortunately, cannot usually mimic the natural transparency of a tooth because of the opaque metal base underneath the porcelain layer.
Advantages of Emax crown:
They require less tooth removal during the preparation stage. They will not cause allergies. They are esthetically pleasing especially on the anterior area.