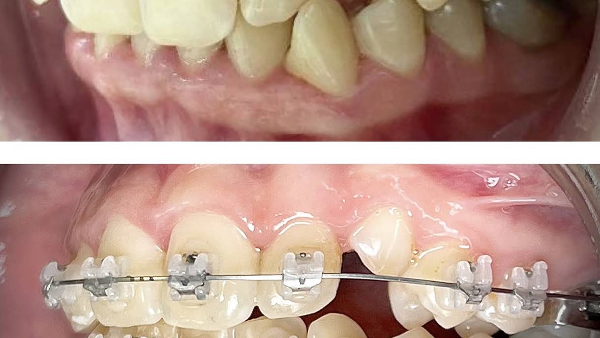
Интересен случай на Клас ll малоклузия, но този път с локализирана кръстосана захапка и ретиниран кучешки зъб, който е позициониран в небцето. Използвайки самолигиращи керамични брекети Достигнахме етап на подреждане на зъбите, след който идва етапът на разкриване на кучешкия зъб и изтеглянето му в правилна позиция...stay tuned